L'orthodontie - Page 2
Une succion du pouce prolongée peut avoir des conséquences sur le développement de la mâchoire, des dents, et aussi sur l’élocution de l’enfant.
Grâce au développement de techniques discrètes et confortables, de plus en plus d’adultes ont recours à l’orthodontie.
Quel que soit le type d’appareil (amovible ou fixe), les bons gestes d’hygiène bucco-dentaire sont un gage de réussite de votre traitement.
Invisalign® est un traitement orthodontique basé sur le port successif d’une série de gouttières transparentes.
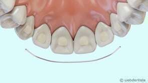
Différents appareillages peuvent être utilisés pour déplacer les dents. Le choix technique dépend du mouvement dentaire à réaliser.
















