CABINET DENTAIRE DE LIMONEST CENTRE
5 rue Doncaster, 69760 LIMONEST
04 78 35 10 11
CABINET DENTAIRE DE LIMONEST CENTRE
Soins et prothèses dentaires ♦ Implantologie ♦ Parodontologie ♦ Invisalign ♦ Esthétique du sourire

Orthodontie - Page 3

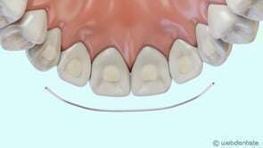
Nettoyage des brackets avec brossette interdentaire

Nettoyage des brackets avec brossette interdentaire

22 Oct 2024
Éducateur fonctionnel – concept d’intervention et de prévention 

Éducateur fonctionnel – concept d’intervention et de prévention 

22 Oct 2024
Le dispositif de carrière

Le dispositif de carrière

22 Oct 2024
Le masque de delaire - chronomask

Le masque de delaire - chronomask

22 Oct 2024
Expansion palatineactivation du disjoncteur

Expansion palatineactivation du disjoncteur

22 Oct 2024
Le quad helix : traitement du palais et de l’alignement des dents

Le quad helix : traitement du palais et de l’alignement des dents

22 Oct 2024
Contention de Hawley

Contention de Hawley

22 Oct 2024
 gouttières invisibles (avec taquets)

 gouttières invisibles (avec taquets)

22 Oct 2024
Fil de contention

Fil de contention

22 Oct 2024
Extraction en orthodontie et réhabilitation par implant

Extraction en orthodontie et réhabilitation par implant

22 Oct 2024
Implant orthodontique : redressement d’une molaire

Implant orthodontique : redressement d’une molaire

22 Oct 2024
Les élastiques de classes ii et iii

Les élastiques de classes ii et iii

22 Oct 2024
Affichage des articles 25-36 sur 43

Derniers articles

Le mouvement normal de l’articulation temporo-mandibulaire

Le mouvement normal de l’articulation temporo-mandibulaire

13 Nov 2024
Mandibule complète et traitement implantaire pour un bridge fixe vissé

Mandibule complète et traitement implantaire pour un bridge fixe vissé

13 Nov 2024
Comment bien utiliser la brossette interdentaire ?

Comment bien utiliser la brossette interdentaire ?

13 Nov 2024

Catégories

Création par Webdentiste

Connexion